「異常なし」を確認して、安心を取り戻しませんか?
健康診断の便潜血検査で「陽性」という結果が出たとき、多くの方が「痔のせいだろう」「体調が悪かっただけ」「去年も陽性だったけど大丈夫だった」と、自分を納得させようとしてしまいます。
しかし、お腹の専門外来としてお伝えしたいのは、「陽性の結果は、大腸からの貴重なメッセージ」であるということです。
やまおか内科クリニックでは、平野区・東住吉区・生野区にお住まいの皆様が、一日も早く不安を解消できるよう、専門医による「苦痛の少ない大腸カメラ」体制を整えています。
便潜血が「陽性」になる主な原因
便潜血反応は、目に見えない微量な「出血」を検知するサインです。原因は一つではありませんが、主に以下の4つの可能性が考えられます。
【重要】便潜血検査はあくまで「潜伏した出血」を見つけるものであり、病名を特定するものではありません。原因をはっきりさせ、安心を手に入れるためには大腸カメラによる精密検査が必要です。
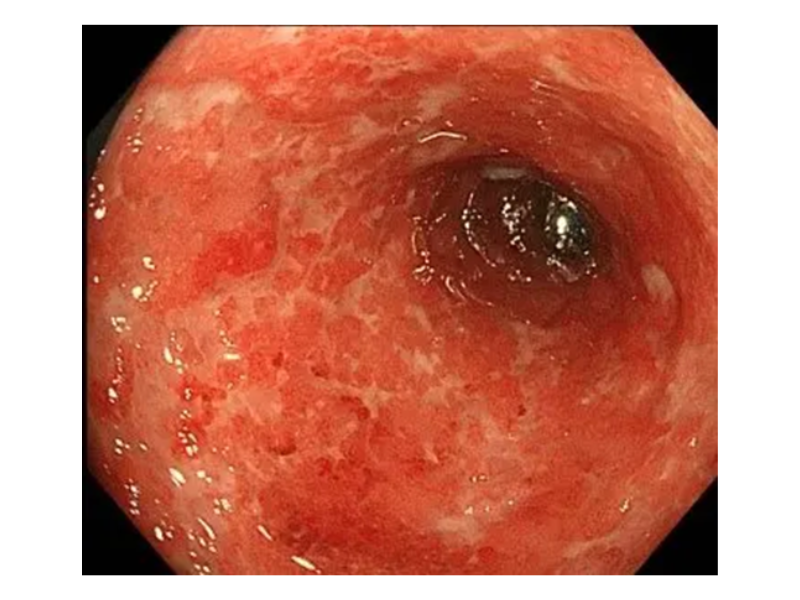
放置してはいけない本当の理由
便潜血陽性で精密検査(大腸カメラ)を受けた方のうち、数%に大腸ガンが、約30〜50%に将来ガン化する可能性のあるポリープが見つかります。
大腸ガンは、ポリープのうちに切除すれば、ほぼ100%近く治すことができる病気です。逆に言えば、放置して進行ガンになってしまうと、手術や抗がん剤治療など、体への負担が非常に大きくなります。
「忙しいから」「怖いから」と先延ばしにするリスクは、あってもメリットはありません。

当院の「苦しくない大腸カメラ」3つのこだわり
「検査が痛そう、怖そう」という理由で再検査を躊躇されている方へ。当院では以下の体制で、検査へのご不安を取り除いています。
Point 01
鎮静剤で「寝ている間に」
適切な鎮静剤(麻酔)を使用します。多くの方が「気づいたら終わっていた」とおっしゃるほど楽な検査です。
Point 02
その場で「ポリープ切除」
検査中に見つかったポリープはその場で切除が可能。後日、改めて来院する手間がありません。
Point 03
快適な「前処置(下剤)」
飲みやすい下剤の選択や、ご自宅でリラックスして準備ができる環境を整えています。
検査の流れと費用
事前診察(予約制)
まずは一度ご来院いただき、症状の確認や検査の説明、下剤の処方を行います。
※健康診断の結果通知書を必ずご持参ください。
大腸カメラ検査当日
鎮静剤を使用して検査を行います。ウトウトと眠っているような状態で検査が受けられます。ポリープが見つかった場合は、その場で切除(日帰り手術)も可能です。
結果説明
検査後、リカバリールームでしっかりとお休みいただいた後、画像を見ながら詳しく説明します。組織を採取した(生検)場合は、後日改めて結果をお伝えします。
【費用の目安】
-
観察のみ(3割負担):約5,000円〜
-
ポリープ切除あり(3割負担):約20,000円〜 ※初再診料や使用する薬剤により前後します。
平野区・東住吉区・生野区でお腹の悩みをお持ちの方へ
「お腹の専門外来」として、私たちはあなたの不安を放置しません。 大学病院レベルの専門知識と、地域クリニックならではの相談しやすさで、あなたの健康を守ります。
「あの時、検査を受けておいてよかった」
そう言っていただけるよう、全力を尽くします。まずは事前診察のご予約から、最初の一歩を踏み出していただけますと幸いです。



